★宁波市医保定点医疗机构

★工伤保险定点医院

★全国一卡联网、异地结算定点医疗机构

健康热线 0574-87712999
治疗退变性关节病
浙东骨科医院2019-03-05浏览:

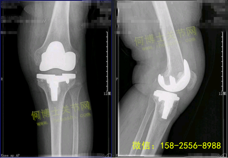
   老太太79岁,体重偏重,左侧膝盖已经痛了2年,确诊为退变性关节炎,到需要手术治疗的阶段(全膝关节置换术)。现在术后2个月复查,术后刀口平整干净,术后无需拆线,屈伸膝活动锻炼好,行走佳,建议适当减轻体重,多吃瓜果蔬菜,适当少吃米饭,可以平地快走活动 。


术后2月复查情况如下:


20180605163723802380.jpg

术前片子:诊断为退变性骨性关节炎


20180605163711681168.jpg

术后片子:假体在位稳定


20180605163889988998.jpg

术后2个月,膝屈伸活动好